概述鳞状细胞癌又称表皮癌,是一种发生在鳞状上皮的恶性肿瘤,也可称之为鳞癌。患者可出现不同程度的症状,如粘膜白斑、皮肤结节、疣状表皮发育不良、慢性溃疡等。好发部位为面、耳、手背等外露部位的皮肤。病因诱发鳞状细胞癌的病因很多,较为常见的是光热损伤,如紫外线长期照射、放射线损伤、热损伤等,接触致癌化学物质也可诱发癌变,如砷、石蜡、煤焦油、烟草焦油等。人乳头瘤病毒16、18、30型感染,也是鳞状细胞癌的致病因素之一。另外,慢性皮肤疾病,如日光角化病、砷角化病、慢性红斑狼疮、萎缩硬化性苔藓等均可诱发或继发鳞状细胞癌。

鳞状细胞癌症状图症状此病好发于颜面、耳部、手背等外露部位的皮肤,早期可表现为小而硬的淡红色结节,边界不清,表面光滑;随着病情发展可演变为疣状、乳头瘤状病变,有时表面有鳞屑,可破溃,溃疡面呈颗粒状,有坏死组织,易出血且伴臭味;后期肿瘤进行性增大,可侵犯其周围组织,包括肌肉与骨骼。

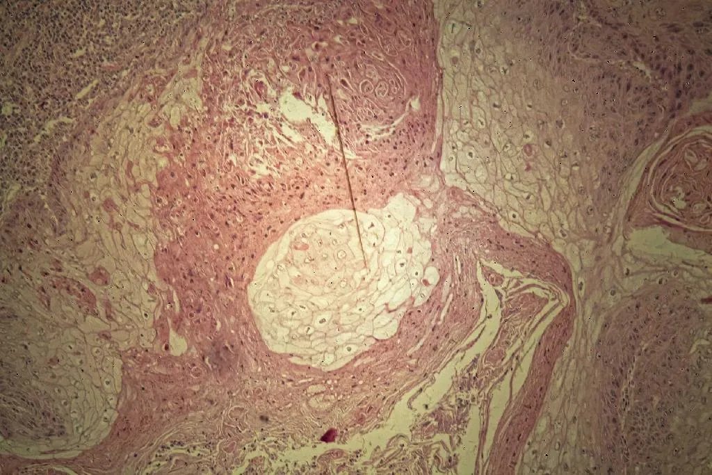
鳞状细胞癌病理图分级通过病理性检查,以肿瘤细胞分化比率、肿瘤细胞非典型性的程度,可将鳞状细胞癌分为四级:一级,病变侵入深部不超过汗腺水平,患处周围基底层部分完整,部分与周围基质分界不清。分化良好的鳞状细胞占75%以上,大多数细胞间桥发育良好,角珠数量多,真皮炎症反应明显。二级,病变处与周围基质界限不清,分化良好的鳞状细胞占50%以上,仅有少数角珠,有相当多的间变细癌细胞胞。三级,病变处与周围间质分界不清,分化良好的鳞状细胞占25%以上,许多部位角化现象消失,不见角珠,仅小片或个别细胞角化。大多数肿瘤细胞胞核呈非典型性,核分裂象多见,许多呈不典型核丝分裂。四级,病变处正常鳞状细胞少于25%,绝大多数为间变细胞,角化现象几乎完全缺乏,无细胞间桥。仔细观察才能找到细胞间桥和少数角质形成细胞而作出诊断,在分化差的鳞状细胞癌损害Vi‐mentin染色亦为阳性。治疗鳞状细胞癌的早期诊断,对于治疗效果至关重要,治疗应彻底避免转移。可根据肿瘤大小、组织分化程度、患者年龄、身体状态等多方面因素,综合评估出适当的治疗方案。目前临床应用的治疗包括Mohs显微外科、放射疗法、电干燥疗法、光动力疗法、β胡萝卜素、干扰素,以及损害内注射氟尿嘧啶等。已经转移或晚期患者,可试用顺铂、阿霉素、博莱霉素等药物治疗。
