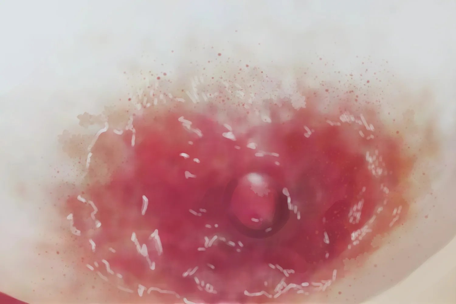
概述乳房湿疹样癌可表现为局部出现红斑或斑块,部分表面糜烂,浸润明显,可伴发乳腺癌。疾病是起源于乳腺导管及顶泌汗腺导管开口部的原位癌,需遵医嘱手术治疗。症状乳房湿疹样癌主要累及女性,好发于单侧乳房和乳晕部,皮损初发为鳞屑性红斑或斑块,常伴有湿疹样变,浸润明显,缓慢向周围扩大,可形成溃疡和乳头回缩。常伴发乳腺癌,可有腋窝淋巴结转移。


病因目前多认为乳房湿疹样癌是起源于乳腺导管及顶泌汗腺导管开口部的原位癌,并从该处向内沿乳腺导管及腺上皮伸展,可累及乳头表皮,或在较少病例中病变位于较深处乳腺导管内甚至腺体,向上扩展至乳头。治疗触不到乳腺肿块的乳房湿疹样癌的患者,可进行全乳房切除术。若触及乳腺肿块,宜行根治手术。需注意,以上均需遵医嘱进行。
